Blanche

치아미백

맑은 빛을 채우는
블랑쉬치과 치아미백

치아미백이란

착색의 원인을 지우고, 투명함을 되찾는 시술입니다

우리 치아는 커피, 차, 음식물의 색소가 치아 표면의 미세한 구멍(상아세관)으로 스며들어 누렇게 변색됩니다. 노화로 인해 내부 상아질이 짙어지기도 합니다. 블랑쉬치과의 미백은 미백제의 특수 성분이 산소 작용을 일으켜 치아 구조는 손상시키지 않고 착색된 유기물질만 선택적으로 분해합니다. 빛의 투과율을 높여 치아 속부터 맑고 깨끗한 색조를 되찾아줍니다.

추천 대상

이런 분들이라면,
치아미백을 권합니다

양치를 열심히 해도
누렇게 보이는 분

미백 치약으로
효과를 못보신 분

결혼·면접·중요 일정 앞두고
색상 개선이 필요한 분

자연스럽고 과하지 않은
밝기를 원하는 분

치아미백도 블랑쉬치과에서

효과는 확실하게,
자극은 최소화한
블랑쉬치과의 치아미백

1:1 퍼스널 컬러 매칭

무조건 하얗기만 한 부자연스러운 치아가 아닌, 환자분의 피부 톤과 이미지를 고려해 디자인합니다.

시림 최소화

무조건 하얗기만 한 부자연스러운 치아가 아닌, 환자분의 피부 톤과 이미지를 고려해 디자인합니다.

검증된 안정성

식약처 승인된 안전한 약품과 전문 장비, 그리고 치아 미백을 연구한 전문가가 최상의 결과를 만듭니다.

대표원장 소개

치아 미백으로
서울대학교 석사 학위를 받은
치아 미백 전문가가
직접 시술합니다
환자분들에게 꼭, 효과있는 미백 치료를 해드립니다.
대표원장
서울대 졸업, 뉴욕 컬럼비아 대학, ULCA치과병원 연수 김태형 원장
김태형 원장 서명

시술 장비

식약처 승인, 전문가용 정품 미백 시스템을 사용합니다

블랑쉬치과는 식약처(KFDA) 승인을 받은 정품 전문가용 고농도 미백제와 최신 특수 광선 조사기만을 사용합니다.

식약처 승인 전문가용 정품 치아미백제, 고농도 미백으로 치아 깊은 착색까지 개선

전문가용 정품 치아미백제

치과 전용 고농도 미백제로 자가 미백으로는 도달하기 힘든 깊은 층의 착색까지 효과적으로 제거합니다.

치과 미백 전용 특수 광선 조사기, 미백제 활성도를 높여 시술 시간을 단축하는 장비

특수 광선 조사기

미백제의 활성도를 높여 시술 시간을 단축하고, 약제가 치아 깊숙이 침투하도록
돕습니다. (안전장치 내장된 최신 장비)

치아미백 시술 과정

블랑쉬치과는
진단하고 시술합니다

정밀 진단 및 색상 체크

현재 치아 상태를 파악하고, 시술 후 예측되는 밝기를 확인해 목표를 설정합니다.

치면 세마 및 스케일링

미백제가 치아 표면에 고르게 도포되고 잘 흡수될 수 있도록, 치석과 플라그를 사전에 깨끗이 제거합니다.

잇몸 보호제 도포

고농도 미백제로부터 잇몸이 자극받거나 손상되지 않도록, 꼼꼼하게 보호막을 형성하여 안전을 확보합니다.

미백제 도포 & 특수광 조사

미백제를 바르고 특수 광선을 조사하여 착색 물질을 분해합니다. (환자 상태에 따라 2~3회 반복 시행)

마무리 및 결과 확인

시술 후 변화된 치아 색상을 확인하고, 일시적인 과민 반응 여부를 체크한 후 마무리합니다.

블랑쉬 화이트 홈케어 치아미백 제품, 치과 미백 후 효과를 집에서도 오래 유지하도록 설계된 미백 치약

홈케어 치아미백

빛나는 미소, 집에서도 변함없이
지켜드립니다

블랑쉬 치과는 단 한번의 미백 치료에 그치지 않고, 미백 효과를 오래, 건강하게 유지할 수 있도록 치의학 전문가들이 설계한 홈케어 솔루션을 제안합니다.

  • 치아 자극을 주는 성분은 배제하고, 고성능 자연주의 성분으로 잇몸과 치아를 보호합니다.

  • 서울대 연구팀과 협업한 정밀 배합으로 구강 내 환경을 개선합니다.

  • 자연유래 계면활성제로 입마름을 막고 구취 원인까지 제거합니다.

바로가기

치아미백 시술 사례

누런인상에서 환한 인상으로,
블랑쉬치과 치아미백 사례

화면을 드래그하여 전/후를 비교해 보세요

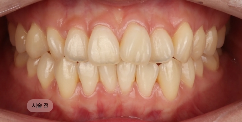
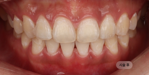
30대 여성 치아미백 시술 전, 전체적으로 어두운 치아 톤으로 웃을 때 인상이 흐려 보이는 상태
30대 여성 치아미백 시술 후, 치아 톤이 밝아지며 웃을 때 인상이 또렷하게 개선된 모습

웃는게 망설여지던 30대 김혜빈님

치아미백 후 인상 개선

20대 여성 치아미백 시술 전, 누런 치아 색으로 인해 치아가 칙칙해 보이는 상태
20대 여성 치아미백 시술 후, 자연스러운 밝기의 치아 톤으로 깨끗하게 개선된 모습

누런 치아로 고민하던 20대 이현정님

치아미백으로 자연스러운 톤업

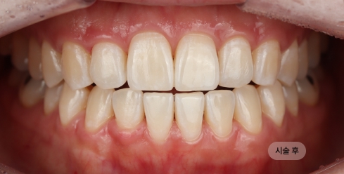
30대 여성 치아미백 시술 전, 커피 착색으로 치아 표면에 누런 색소가 남아 있는 상태
30대 여성 치아미백 시술 후, 착색이 제거되어 깔끔하고 균일한 치아 인상이 완성된 모습

커피 착색이 고민이던 30대 소지원님

깔끔한 첫인상 완성

자주 묻는 질문

치아미백 상담 전 궁금해하는 것들, 블랑쉬치과가 알려드립니다
Q1.

미백 효과는
얼마나 지속되나요?

Q2.

시술 후 다시 예전처럼
누렇게 되나요?

Q3.

시술은
몇 번 받아야 하나요?

Q4.

미백이 효과 없는
경우도 있나요?

Q5.

시술 중
많이 시리나요?

상담 예약 신청하기

자신 있게 웃는 하루,
블랑쉬치과에서 시작하세요
블랑쉬치과는 현재 치아와 잇몸 상태에서 최선의 방향을 알려드리고 판단할 수 있도록 돕습니다. 자세한 상담이 필요하시다면, 언제든 블랑쉬치과를 찾아주세요.

상담신청

자세히보기