
진료 철학
저희에게 힘이 되는 것은 환자분의 밝은 미소입니다. 건강하고 행복한 미소를 되찾으실 수 있도록, 블랑쉬치과가 함께 하겠습니다.
블랑쉬
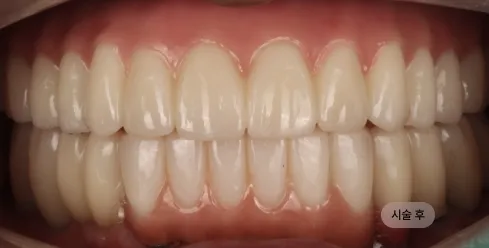
무삭제 또는 최소삭제로 완성한 미소. 당신의 미소도, 달라질 수 있습니다.
화면을 드래그하여 전/후를 비교해 보세요












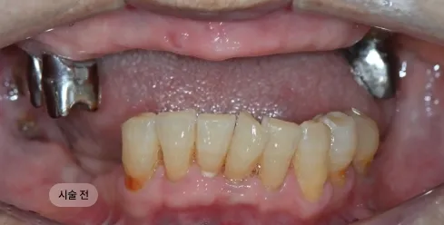
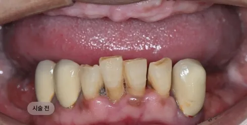
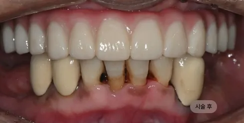
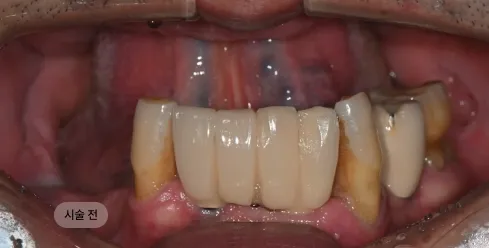
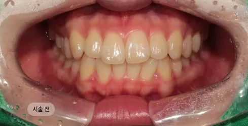
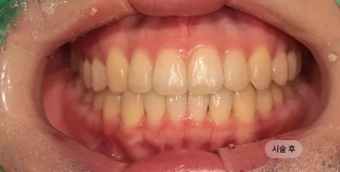
임플란트
전국에서 찾아주시는 블랑쉬 임플란트. 수면 임플란트와 정밀한 최소 절개로, 당일에 임시 치아까지 완성됩니다.
화면을 드래그하여 전/후를 비교해 보세요


대구에서 서울까지 내원하셔서 당일 수술 후 임시 치아까지 붙여드린 50대 후반 남성 환자분입니다. 블랑쉬치과에서 임플란트 수술 후 밝은 미소와 씹는 즐거움까지 되찾으셨습니다.
대구에서 서울까지 내원하셔서 당일 수술 후 임시 치아까지 붙여드린 50대 후반 남성 환자분입니다. 블랑쉬치과에서 임플란트 수술 후 밝은 미소와 씹는 즐거움까지 되찾으셨습니다.


미국에서 한국의 블랑쉬치과까지 내원하셔서 SOI 임플란트 식립을 진행하신 환자분입니다. 임플란트 완성 후 다시 미국으로 돌아가셨으며, 블랑쉬치과에서의 전체 임플란트 수술로 심미성과 기능성을 되찾으셨습니다.
미국에서 한국의 블랑쉬치과까지 내원하셔서 SOI 임플란트 식립을 진행하신 환자분입니다. 임플란트 완성 후 다시 미국으로 돌아가셨으며, 블랑쉬치과에서의 전체 임플란트 수술로 심미성과 기능성을 되찾으셨습니다.






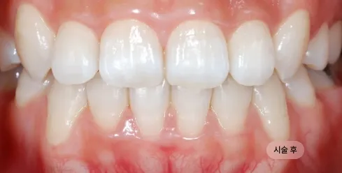
치아교정
연령과 상태에 맞는 맞춤 교정, 브라켓부터 클리피씨, 인비절라인까지, 블랑쉬가 함께합니다.
화면을 드래그하여 전/후를 비교해 보세요






치료 후기


철학
블랑쉬치과는 여러분의 걱정을 대신 짊어지겠습니다.
그저 잘하는 치과가 아닌, 행복까지 드리는 치과가 되겠습니다.
걱정 속에 내원해주신 용기를 환한 미소와 건강으로 보답하겠습니다.
철학
저희는 이렇게 생각합니다
블랑쉬치과는 여러분의 걱정을 대신 짊어지겠습니다.
그저 잘하는 치과가 아닌, 행복까지 드리는 치과가 되겠습니다.
걱정 속에 내원해주신 용기를 환한 미소와 건강으로 보답하겠습니다.
미소가 작품이 되는곳
블랑쉬에서, 당신의 변화를 시작하세요
상담신청
상담 예약 신청하기
상담신청