치아교정, 어떤 경우에 필요할까요?
버튼을 클릭해서 사례를 확인하세요
부정교합은 단순히 외모의 문제가 아닙니다.
방치하면 씹는 기능 저하, 치아 마모,
턱관절 장애로 이어집니다.
교정은, 치아건강을 지키는 일입니다


교정은 단순히 치아를 움직이는 게 아닙니다. 골격, 턱관절, 얼굴 균형까지 고려한 정밀한 설계가 필요합니다. 그래서 교정과 전문의여야 합니다.
블랑쉬치과는
20년 이상 경력의
교정과 전문의가 진료합니다
전체 치과의사 중 4~5%만 거치는
교정과 전문의 수련과정 이수.
10,000명 이상의 얼굴을 보고,
치열을 교정해온 경험.

교정과 전문의

원장 박경리
블랑쉬치과의 교정은 치아 건강과 결과, 모두 놓치지 않습니다
블랑쉬치과는 틀어진 치아와 골격 부조화를 바로잡고, 심미성과 건강을 함께 개선합니다.
'정품' 인비절라인과 2세대 클리피씨, 고가의 인비절라인 전용 스캐너를 사용합니다.
상황, 연령에 맞는 최적의 교정을 설계합니다

치아 배열, 턱 라인, 씹는 기능까지 개선합니다.

턱뼈와 얼굴형이 만들어지는 시기, 세심한 교정이 필요합니다.

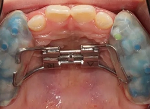
전체 교정이 부담스럽다면, 필요한 부분만 집중 교정할 수 있습니다.
블랑쉬치과가 제안하는 성인 맞춤 교정 장치
치아 배열을 넘어 턱 라인과 씹는 기능까지, 얼굴의 전체적인 조화를 찾아드립니다.

아무도 모르게 투명한 교정.
개인별 맞춤 제작으로 진행되는
투명한 재질의 교정 장치로,
탈부착이 가능해
식사와 양치 모두 자유로움.

빠르고 편안한 세라믹 교정.
슬라이딩 도어 방식의
자가결찰 시스템으로 통증 최소화,
치아색과 유사한 세라믹 재질로
자연스러운 색감.
인비절라인 치아교정, 일반 투명교정과 다릅니다
투명교정이 모두 같은 투명교정이 아닙니다. 기술력, 소재, 교정가능범위에서 큰 차이가 있습니다.

| 제조 | 미국 본사 (AI 및 로봇 일괄 제작) |
| 소재 | 특허 SmartTrack (탄성·밀착력 우수) |
| 범위 | 돌출입, 부정교합 등 복합 케이스 |
| 시스템 | ClinCheck 소프트웨어로 전 과정 시뮬레이션 |
| 고정 | 어태치먼트 부착으로 정밀 제어 |

| 제조 | 국내외 기공소 (수동/소규모) |
| 소재 | 일반 플라스틱 (PET-G) |
| 범위 | 앞니 등 경미한 단순 케이스 |
| 시스템 | 단계별로 본을 떠서 제작 |
| 고정 | 장치의 힘으로만 이동 |
부드럽지만 정확한
SmartTrack 소재와
디지털 워크플로우가
인비절라인이 다른 이유입니다.
인비절라인 치아교정, 정밀한 장비로 설계합니다
블랑쉬치과는 고가의 전문장비인 아이테로(iTero)디지털 구강 스캐너로 더 정확하고, 더 편안한 진단을 제공합니다.

차가운 반죽 없이 스캐너만으로 고해상도 3D이미지를 구현합니다.
3D시뮬레이션으로 교정 후 변화를 미리 확인할 수 있습니다.
디지털 스캔 데이터로
인비절라인 교정 장치를
정밀하게 제작합니다.
제대로 된 인비절라인 치아교정, 전문 장비까지 갖춘 블랑쉬치과에 맡기세요.
교정 전문 장비
인비절라인 치아교정, 정밀한 장비로 설계합니다
블랑쉬치과는 고가의 전문장비인 아이테로(iTero)디지털 구강 스캐너로 더 정확하고, 더 편안한 진단을 제공합니다.
본뜨기 없이, 빠르고 정확하게
차가운 반죽 없이 스캐너만으로 고해상도 3D이미지를 구현합니다.
치료 전, 결과를 눈으로 먼저
3D시뮬레이션으로 교정 후 변화를 미리 확인할 수 있습니다.
데이터 기반 정교한 설계
디지털 스캔 데이터로
인비절라인 교정 장치를
정밀하게 제작합니다.

제대로 된 인비절라인 치아교정, 전문 장비까지 갖춘 블랑쉬치과에 맡기세요
섬세한 어린이교정도 블랑쉬치과에서
매일 성장하는 어린이의 구강, 수많은 소아교정 임상경험으로 섬세한 교정치료를 진행합니다.
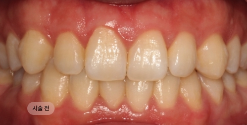
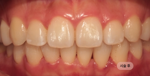
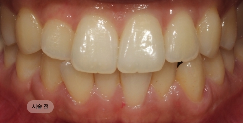
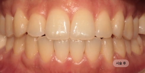
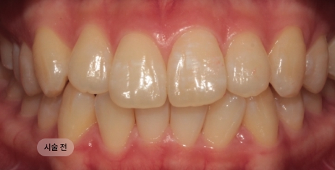
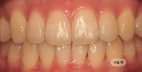
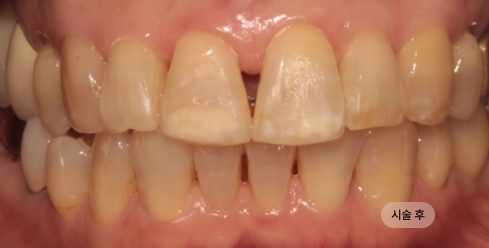
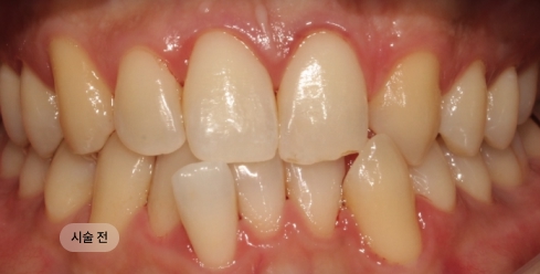
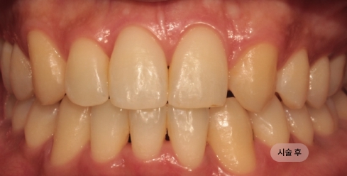
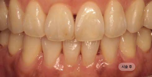
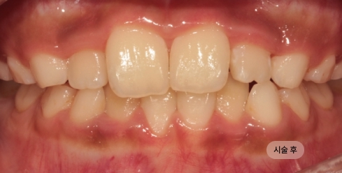
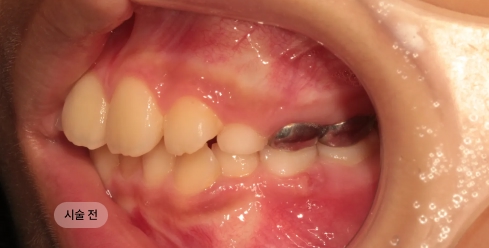
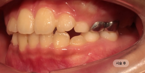
블랑쉬치과 교정 치료 결과입니다
화면을 드래그하여 전/후를 비교해 보세요


















상담 예약 신청하기
미소가 작품이 되는곳
블랑쉬에서, 당신의 변화를 시작하세요
상담신청
상담신청