Blanche

ホワイトニング

澄んだ光を宿す、
ブランシュ歯科のホワイトニング

ホワイトニングとは

着色の原因を取り除き、 歯本来の透明感を取り戻す施術です。

私たちの歯は、コーヒーやお茶、食品の色素が 歯の表面の微細な穴(象牙細管)に染み込み、黄色く変色することがあります。 また、加齢により内部の象牙質が濃くなる場合もあります。 ブランシュ歯科のホワイトニングでは、特殊成分を含むホワイトニング剤が酸素作用を起こし、 歯の構造を損なうことなく、着色された有機物質だけを選択的に分解します。 これにより光の透過率が高まり、歯の内部から澄んだ美しい色調を取り戻すことができます。

おすすめ対象

こんな方には、
オフィスホワイトニングをおすすめします。

歯磨きを頑張っても
黄ばんで見える方

ホワイトニング歯磨き粉で
効果を感じられなかった方

結婚式や面接、重要な予定を控えて
色調改善が必要な方

自然で過度にならない
明るさを求める方

歯のホワイトニングもブランシュ歯科で

効果は確実に、
刺激は最小限に抑えた
ブランシュ歯科のホワイトニング

1:1 パーソナルカラーマッチング

無理に白く不自然な歯にするのではなく、患者様の肌色やイメージに合わせて、最適な歯の色をデザインします。

知覚過敏を最小限に

知覚過敏を引き起こす高濃度は避け、特殊光線を用いて痛みを抑えつつ、ホワイトニング効果を最大限に引き出します。

検証された安全性

食品医薬品安全処承認の安全な薬剤と専門機器、そしてホワイトニングを研究した専門家が最良の結果を生み出します。

代表院長紹介

ホワイトニングの分野で
ソウル大学校修士号を取得した、
ホワイトニング専門家が直接施術いたします。
患者様に確実で、 効果的なホワイトニング治療を提供いたします。
代表院長
ソウル大学卒業 ニューヨーク・コロンビア大学 UCLA歯科病院研修 キム・テヒョン院長
キム・テヒョン 院長 署名

施術機器

食品医薬品安全処承認済みの、
専門家用正規ホワイトニングシステムを使用しています。

ブランシュ歯科では、
食品医薬品安全処(KFDA)承認済みの
正規プロ用高濃度ホワイトニング剤と、
最新の特殊光線照射器のみを使用しています。

KFDA承認 専門家用正規品ホワイトニング剤、高濃度薬剤で歯の深い着色まで改善

専門家用正規品のホワイトニング剤

歯科専用の高濃度ホワイトニング剤で、自宅では届きにくい歯の深層にある頑固な着色まで効果的に除去します。

歯科ホワイトニング専用特殊光照射器、薬剤の活性度を高め手術時間を短縮する装備

特殊光線照射器

ホワイトニング剤の活性を高め、施術時間を短縮するとともに、薬剤が歯の奥深くまで浸透するのをサポートします。(安全装置を内蔵した最新機器です)

歯のホワイトニング施術プロセス

ブランシュ歯科では、
診断に基づき治療を提供いたします。

精密診断・色調チェック

現在の歯の状態を正確に把握し、 施術後に期待できる明るさを確認した上で、目標の色調を設定します。

歯面研磨・スケーリング

ホワイトニング剤が歯の表面に均一に塗布され、十分に浸透するように、歯石やプラークを事前に丁寧に除去します。

歯肉保護剤の塗布

高濃度ホワイトニング剤による歯肉への刺激や損傷を防ぐため、入念に保護膜を形成し、安全性を確保します。

ホワイトニング剤塗布・特殊光照射

ホワイトニング剤を塗布し、特殊光線を照射して着色物質を分解します。 (患者様の状態に応じて、2~3回繰り返す場合があります。)

仕上げ・結果確認

施術後の歯の色の変化を確認し、一時的な知覚過敏の有無をチェックした後、施術は終了となります。

ブランシュ·ホワイト ホームケアホワイトニング製品、歯科ホワイトニング後の効果の維持を助ける美白歯磨き粉

ホームケアホワイトニング

輝く笑顔を、 ご自宅でもしっかりお守りします。

ブランシュ歯科は、オフィスホワイトニング治療にとどまらず、ホワイトニング効果を長く、健康的に維持できるよう、歯科医療専門家が設計したホームケアソリューションをご提案しています。

  • 歯に刺激を与える成分は使用せず、高性能な自然由来成分で歯茎と歯をしっかり保護します。

  • ソウル大学研究チームと共同開発した精密配合で口腔内環境を改善します。

  • 天然由来の界面活性剤により、口内の乾燥を防ぎ、口臭の原因までしっかり除去します。

바로가기

オフィスホワイトニング施術症例

黄色い印象から明るい印象へ、
ブランシュ歯科の歯のホワイトニング症例

画面をドラッグして、Before/Afterを比較してみてください。

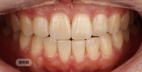
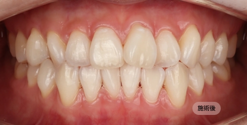
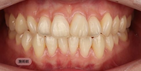
30代女性のホワイトニング前の写真
30代女性のホワイトニング後の写真

笑うのをためらっていた30代のケース

ホワイトニングで笑顔の印象が明るくなりました。

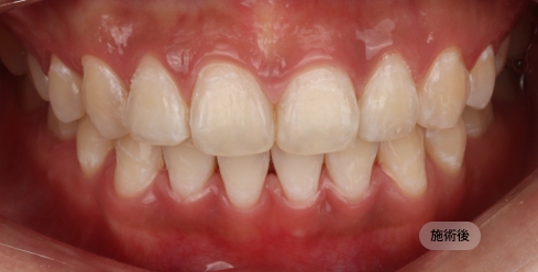
20代女性のホワイトニング前の写真
20代女性のホワイトニング後の写真

黄ばんだ歯に悩んでいた20代のケース

ホワイトニングで自然な明るさを取り戻しました。

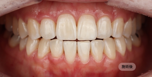
30代女性のホワイトニング前の写真
30代女性のホワイトニング後の写真

着色が悩みの30代のケース

ホワイトニングで清潔感のある第一印象を実現しました

よくある質問

ホワイトニングについて、 よくある質問にお答えします。
Q1.

ホワイトニングの効果は
どのくらい持続しますか?

Q2.

施術後、また以前のように
黄色くなりますか?

Q3.

施術は
何回受ける必要がありますか?

Q4.

ホワイトニングの効果がない
場合もありますか?

Q5.

施術中に
痛みを感じることはありますか?

相談予約の申し込み

白い歯から始まる自信、
ブランシュ歯科院がサポートします。
迷っている方も、まずはご相談ください。 専門スタッフが丁寧にお答えいたします。

相談申込

詳細を見る